FIRST COUNSELING初診相談
当院では初診相談を行っております。
歯列矯正治療に興味のある方は、お気軽にご利用ください。まだ、治療を始めるかどうか決めていない方でも不安や疑問をご相談ください。
こんにちは。
今回は、患者さまからよくご質問いただく「矯正治療って、いつ始めるのがいいの?」というテーマについてお話ししたいと思います。
歯並びや噛み合わせの悩みは、人それぞれ。実は矯正治療には「○歳が正解」という決まりはありません。でも、タイミングによって治療の選択肢が変わることがあります。

目次
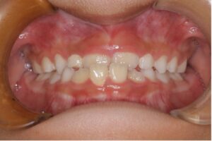
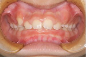
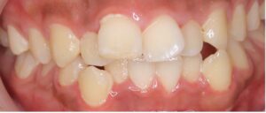
子どもの矯正治療では、成長期を活かせるかどうかがとても重要になります。
治療を始める時期は、その方の歯並びや噛み合わせ、永久歯の生え替わりの本数などの状況により異なります。7歳頃から始める必要があるお子さまや、10歳頃から始める必要があるお子さまなど、さまざまです。
就学前はまだ大人の歯が生えてきていないため、ほとんどのお子さまはすぐに治療を始めるのではなく、定期的な経過観察となります。
「早く始めれば早く終わる」というわけではありません。成長に合わない時期から治療を始めてしまうと、治療期間だけが必要以上に長くなってしまうこともあります。そのため、無駄に長い治療にならないよう、治療開始のタイミングがとても大切です。
当院では、まず7歳頃を目安に一度ご相談いただくのがよいと考えています。
・前歯が出ている

・下顎が前に出ている(受け口)

・噛み合わせが深すぎる・開いている(過蓋咬合・開咬)

といった症状が見られる場合、早期治療によって後々の本格矯正が軽くなる、あるいは不要になるケースもあります。
当院では、お口の状態を見たうえで、「今すぐ治療が必要か」「もう少し様子を見てからがよいか」を丁寧にお伝えします。

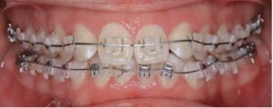
最近では、20代・30代はもちろん、40代・50代・60代の方でも矯正治療を始められる方が増えています。
「もう大人だから遅いのでは?」と心配される方もいらっしゃいますが、矯正治療は何歳からでも可能です。
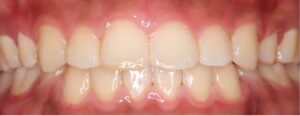
大人の矯正では、
・見た目の改善(コンプレックス解消)
口を大きく開いて笑うことができ、自然と笑顔が増えて自信につながります。

・歯磨きのしやすさ向上でむし歯・歯周病予防
清掃性の高い口腔内に改善されることにより、食べ残しや歯垢(プラーク)が残りにくく、口腔内を清潔に保ちやすくなります。

・噛み合わせの改善
食事がしやすくなることはもちろん、歯への負担が減りむし歯や歯周病の予防に繋がります。将来的な歯の寿命にも関わります。
また、当院では目立ちにくい「舌側矯正装置」歯の裏側への矯正装置や「マウスピース型矯正」も取り扱っており、日常生活やお仕事中でも安心して矯正期間をお過ごしいただけます。
「気になってはいるけど、なかなか一歩が踏み出せない」という方も、まずはご相談だけでも大丈夫です。ご自身に合った治療法・開始時期を一緒に考えていきましょう。
矯正治療のベストタイミングは、「人それぞれ」です。
もし、夏休みに初めたい!結婚式や成人式の前撮りまでに綺麗になりたい!などご自身のタイミングがある場合は、早めの矯正相談をおすすめします。矯正装置がお口に入るまで、矯正相談から始まり、検査、診断、装置装着と段階を踏んでいくので、来月に矯正をスタートさせたい!と矯正相談時に希望されても難しくなります。
とはいえ、気になったその時が、相談のチャンス。
当院では、初回カウンセリングでお口の状態を詳しくチェックし、治療の必要性やベストな開始時期を院長からしっかり説明いたします。
また、矯正治療中は歯のお掃除が難しくなることもあるため、安心して治療を続けられるようスタッフ一同サポートさせていただきます。
矯正治療は、見た目だけでなく、**健康な歯を長く保つための「投資」**でもあります。
まずは一度、お気軽にご相談ください。
当院では初診相談を行っております。
歯列矯正治療に興味のある方は、お気軽にご利用ください。まだ、治療を始めるかどうか決めていない方でも不安や疑問をご相談ください。