CONCEPT

当院の治療コンセプト

皆様にご納得いただける治療方法を
矯正は数か月〜数年にわたり、日々の生活と並走する医療です。だからこそ当院は、根拠ある診断と分かりやすい説明、痛みや不安への配慮、通いやすい環境に徹底的にこだわっています。装置や方法は一人ひとり違いますが、ゴールは共通—咬みやすく、見た目も機能も長く安定すること。その実現のために、以下の取り組みを大切にしています。

Concept 1
じっくり話せる
初診カウンセリング
(目安70〜75分)

初診では、まず口腔内写真の撮影とお口のチェックを行い、コーディネーターが丁寧にヒアリング。治療の大まかな流れ・期間の目安・費用の考え方をご説明します。その後、院長が症例写真を用いて、現在の歯並び・咬み合わせの問題点、考えられる治療法、使える装置の選択肢を解説します。
装置の見た目やお仕事・学校生活への影響、痛みの出やすいタイミングまで、疑問はその場で解消していただけます。

カウンセリングの流れ

1. 写真撮影・口腔内チェック
2. コーディネーターによるヒアリング/全体像のご説明
3. 院長による現状説明・装置の選択肢と治療方針の方向づけ、実際の症例を見ながら説明
4. 費用と支払い方法のご案内、次のステップの確認

Concept 2
精密検査と“骨に調和する”
治療計画

セファロ(頭部X線)分析・3DCT・模型(スキャン)分析を行い、

  • 上下顎の骨格バランス
  • 歯の角度・上下前後の位置
  • 歯列弓の幅・歯ぐきの厚み
  • 口元(口唇)の見え方

を総合評価。前歯・奥歯をどこへどれだけ動かすかを設計し、IPR(歯と歯の間をわずかに整える処置)や抜歯の要否、親知らずの扱いまで丁寧に判断します。

レントゲン撮影
模型分析
レントゲン分析
口元のシミュレーション

3Dセットアップで仕上がりを「見える化」
(成人矯正)

当院は自費の成人矯正の全症例で3Dセットアップを行います。
まず、セファロ・3DCT(あごの骨や歯の根の情報)・口腔内スキャン(歯の形とかみ合わせの情報)をとり、これらを重ね合わせて1本ずつ歯をデジタル上で並べ直すシミュレーションを作成します。

何がわかる・何が良い?

  • 骨の中で無理のない位置に歯を動かせているかを事前に確認できる
  • 歯ぐきの下がりや、骨から外れるなどのリスクを低減できる
  • 見た目(口元のバランス)と噛む機能を両立した、現実的で長期安定しやすいゴールを設定できる
  • 移動できる範囲(安全域=歯槽骨の包絡)を把握し、過度な移動を避ける設計ができる

当院のこだわり

マウスピース、ワイヤー矯正の双方で「3DCT連動のセットアップ」を採用している医院は、全国でも1割未満です(2025年当院調べ)
当院はこの工程を“当たり前”として、根拠のある計画づくりをしています。

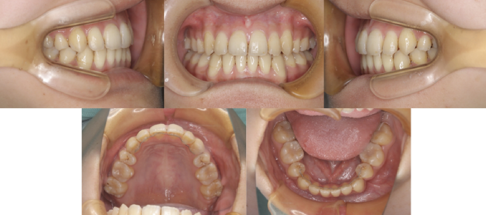
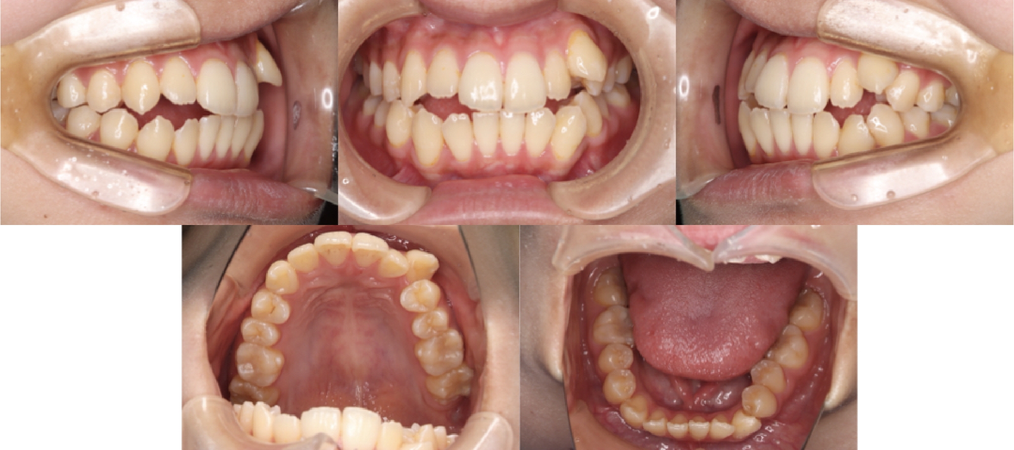
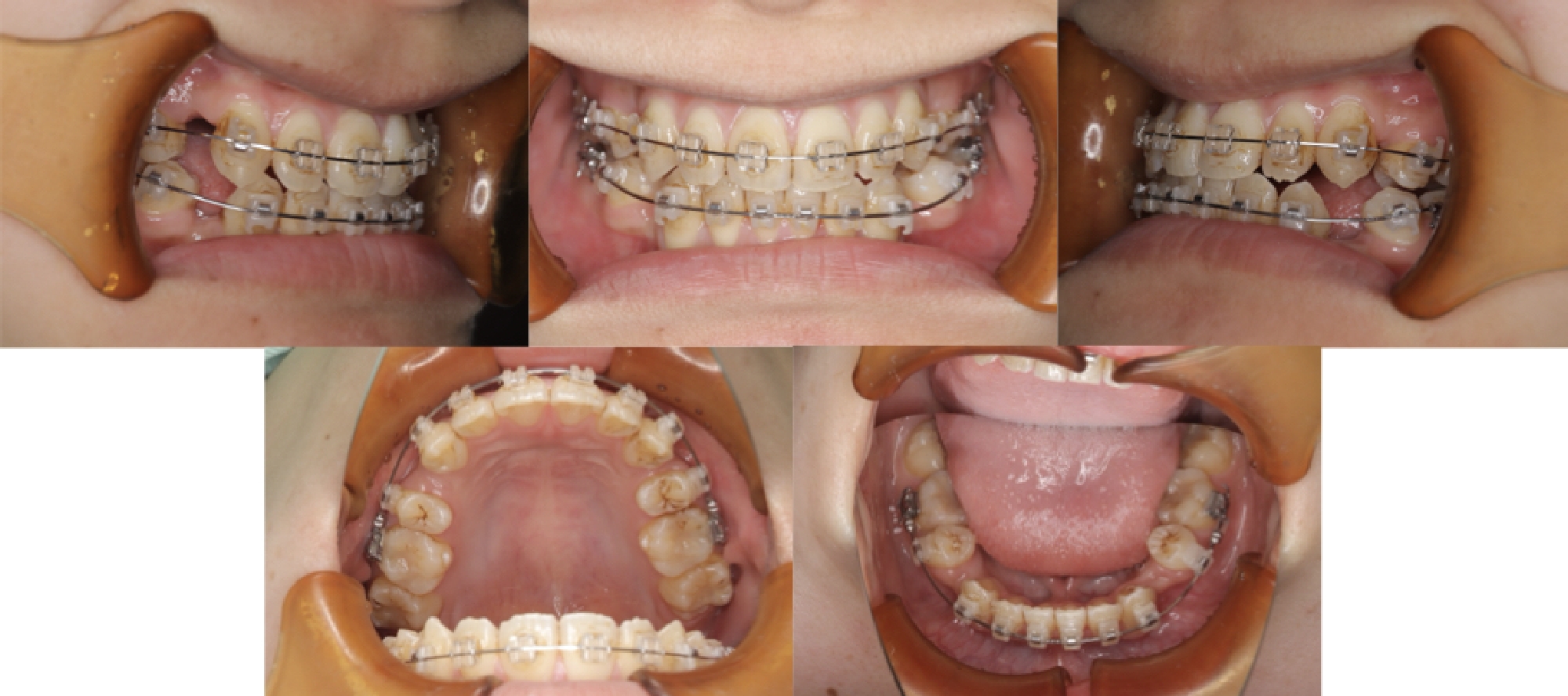
3DCTの治療例

初診時口腔内写真
初診とセットアップ重ね合わせ
治療中
治療終了時
セットアップと終了時重ね合わせ

治療が終わる頃の歯の位置は、事前に作成した3Dセットアップで想定した「骨の中で無理のない位置」とほぼ一致しています。※症例により個人差があります。

Concept 3
毎回の写真×院長の
対面説明で「安心が続く」

通院ごとに写真を撮影し、院長がその場で変化を説明します。

  • 隙間がどのくらい閉じたか、拡大は適正かを客観的にチェック
  • 想定より進みが遅い/歯の動きに偏りがあるなどのサインを早期に発見
  • 必要に応じて方針を柔軟に調整し、効率のよい治療につなげます

スタッフ全員で経時的な写真を共有し、チームで伴走。毎回の「いまどんな状態で、次は何をするのか」が明確です。

Concept 4
矯正専門の経験豊富なチーム

矯正専門で長く勤めるスタッフが多く、定期的に勉強会・研修に参加。コーディネーターを含め、半数以上が矯正治療を経験しています。痛みや違和感、装置への不安など、自分ごととして寄り添えるのが強みです。

Concept 5
装置の選択肢が豊富——
ライフスタイルに合わせて

小児矯正

可能な範囲で取り外し式装置を優先し、お子さん・ご家庭の負担を軽減します(固定式が必要なケースもあります)。学校生活や習い事との両立も踏まえて、ご家族と一緒に進めます。

成人矯正

見た目・お仕事・ご予算などの希望に合わせて、

  • 表側装置(白いブラケット)
  • 舌側(裏側)矯正:上のみ裏側/上下裏側
  • マウスピース型矯正装置

から選択可能。装置ごとのメリット・注意点を公平にお伝えし、あなたに合う解を一緒に見つけます。

Concept 6
衛生管理:
矯正用プライヤーまで毎回滅菌

ミラーやピンセット、歯を削る器具はもちろん、矯正で使う各種プライヤーも毎回患者さんごとに滅菌しています。滅菌には時間や器具本数の確保、定期的なメンテナンスが必要ですが、安全・安心を最優先に体制を整えています。

Concept 7
費用とお支払い

一括/院内分割/デンタルローン/クレジットカード/銀行振込に対応。
治療内容に応じて選べます。院内分割は最大20回(子供の治療は最大10回)まで手数料0円。クレジットカードはすべてのお支払いでご利用いただけます。
※具体的な費用は初診時に、症状と治療方針に合わせてわかりやすくご提示します。

Concept 8
通いやすいアクセス&
フルバリアフリー

阪急「茨木市」駅からすぐ。当院横に駐輪場、提携駐車場も近くにあり、自転車・お車でも通院しやすい環境です。
院内は完全バリアフリー。ベビーカーのまま診療室へお入りいただけます。お子さんは近くの椅子に座って見守りもOK、抱っこのままの診療にも対応。産休・育休中の患者さんも多く通われています。

Concept 9
安心サポート:痛み・トラブル時の対応

痛みが強い、装置が外れた・当たる等の急なトラブルに対応できる救急枠を設けています(当日の空き状況によります)。
痛みの出やすいタイミングの事前説明、ワックスの使い方、ホームケア指導など、“困った”を最小限にできるようご案内します。

治療の流れ(目安)

1. 初診カウンセリング(約70〜75分)
現状の把握・方針の方向づけ/費用・期間の考え方を共有
2. 精密検査(45分程度)
セファロ・3DCT・スキャン/写真撮影
3. 診断・治療計画のご説明(30分程度)
治療計画についてしっかりと説明
4. 装置の選択・オーダー
3Dセットアップを用い、ゴールと道筋を「見える化」
5. 装置装着・調整
毎回の写真で進捗を確認し、必要に応じて方針を微調整
6. 装置撤去・仕上げ
咬み合わせと見た目を最終チェック
7. 保定(リテーナー)
リンガルボンデッドリテーナー(前歯裏側の固定)や可撤式保定装置などで、きれいな状態を安定化(一般的に2年程度が目安)

こじま矯正歯科クリニックは、納得して始め、気持ちよく通い、満足して終われる矯正治療をめざしています。お気軽にお問い合わせください。

FIRST COUNSELING初診相談

当院では初診相談を行っております。

歯列矯正治療に興味のある方は、お気軽にご利用ください。まだ、治療を始めるかどうか決めていない方でも不安や疑問をご相談ください。

もっと詳しく

初診相談とは

院内設備のご紹介

矯正に関するよくあるご質問

こじま矯正歯科ブログ

こじま矯正歯科クリニック求人情報

Web問診票

初診相談とは

初診相談とは