FIRST COUNSELING初診相談
当院では初診相談を行っております。
歯列矯正治療に興味のある方は、お気軽にご利用ください。まだ、治療を始めるかどうか決めていない方でも不安や疑問をご相談ください。

舌側矯正とは歯の裏側に矯正装置を装着して治療を行う方法の1つです。表側の矯正装置と比べて目立ちにくく、人目を気にせず矯正治療を行うことができる矯正治療です。
治療期間は表側矯正装置と比較してもそれほど変わることはありませんが、装置を全ての歯に対してオーダーメイドで作成する必要があるため、治療開始までに準備期間が1から2ヶ月ほど必要となります。


一番の利点はやはり表側の装置と比べてとても目立ちにくいです。芸能人の方でも裏側で矯正治療をされている方がいらっしゃいますが、殆ど気付かれていません。


基本的には通院をすることで治療が進んでいきます。マウスピース型矯正装置は通院することはもちろんですが、装置をご自身で装着しないと治療が進んではいきません。舌側矯正装置は表側矯正装置と同様に固定の装置で治療をしているため、もちろん治療の上で顎間ゴム(上下の歯に指定したゴムをご自身でつけるもの)やMFT(筋機能療法:舌の位置付け、舌や唇の筋トレを行うこと)などご自身で行わないといけない事はありますが予約通りに通院していただく事で治療が進んでいきます。


歯の裏側は舌が動いていること、唾液を出す腺が内側に多いため自浄作用が頬側より高いです。そのため表側の矯正装置より虫歯になりにくいと言われています。


表側矯正装置は表側に食べ物が挟まったりするため、食事中や食後に食べ物が挟まっているかとても気にされる方もいらっしゃいます。舌側矯正装置は表側に食べ物が挟まったりしづらいので挟まった食べ物が見える事がほとんどありません。また、マウスピース型矯正は食事以外の時間に装置の装着が必要なため、食前に外したり、食後すぐに歯磨きして装置を装着したりしないといけません。もちろん舌側矯正装置だからといって歯磨きをしなくていいという訳ではありませんが、どうしてもすぐ出来ない時に困る事が少ないです。
| 矯正相談料 | 無料 |
|---|---|
| 検査診断料 | 45,000円 税込49,500円 |
| 治療費 舌側矯正装置 |
1,210,000円 税込1,331,000円 |
| 調節料 24回通院した場合 |
120,000円 税込132,000円 |
| 保定装置、アタッチメント除去 | 50,000円 税込55,000円 |
※ 全て自由診療です。

舌側矯正装置はマウスピース型矯正装置と比較して、引っ張り合う治療を得意としているため、歯を抜いて治療する必要がある方に向いています。

マウスピース型矯正は、お口の中が荒れやすい方や金属アレルギーの方、電話でお話しする仕事が多い方にオススメの矯正装置です。
| 矯正相談料 | 無料 |
|---|---|
| 検査診断料 | 45,000円 税込49,500円 |
| 治療費 ハーフリンガル矯正 |
960,000円 税込1,056,000円 |
| 調節料 24回通院した場合 |
120,000円 税込132,000円 |
| 保定装置、アタッチメント除去 | 50,000円 税込55,000円 |
※ 全て自由診療です。
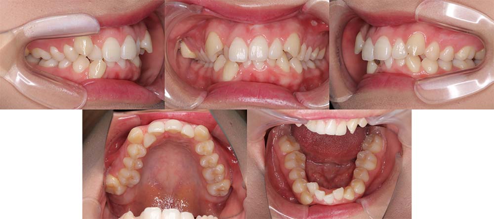
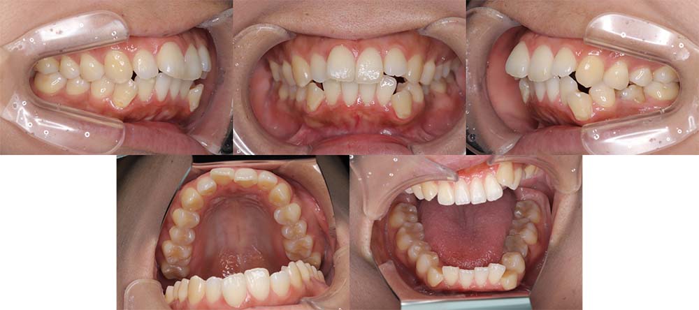
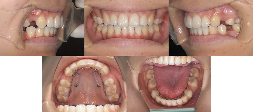
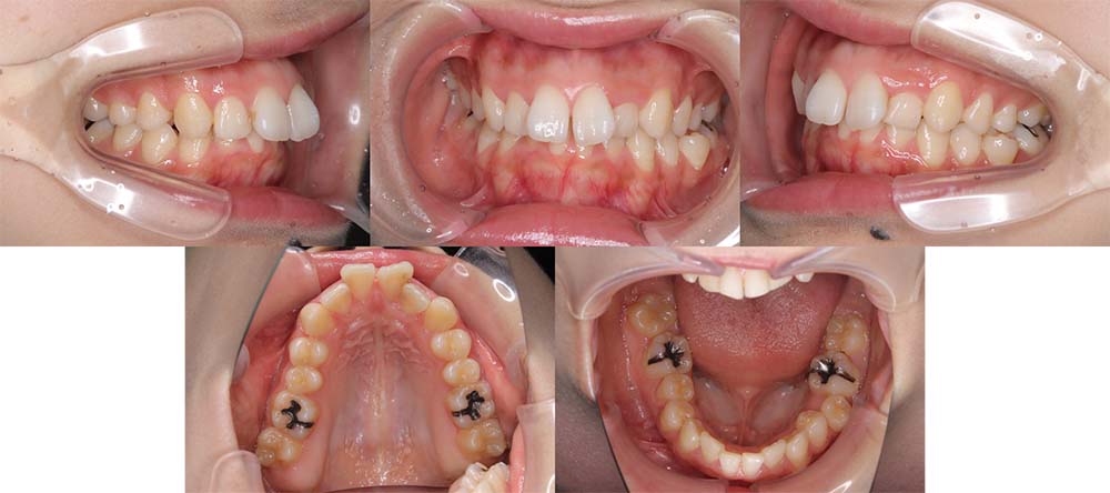
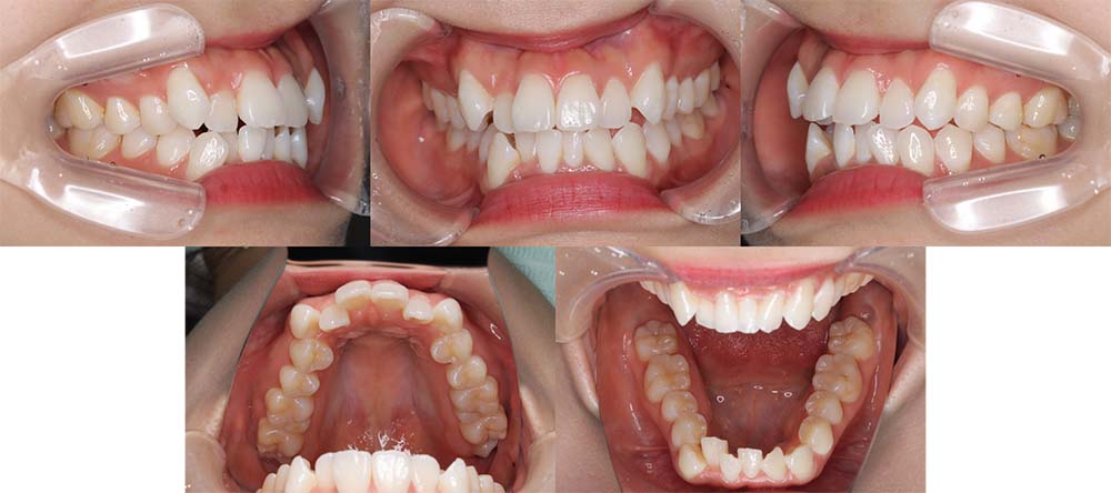
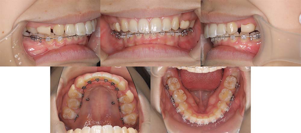
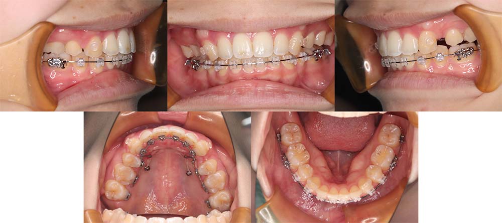
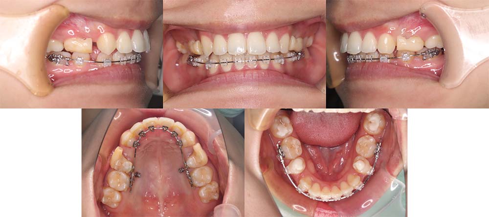
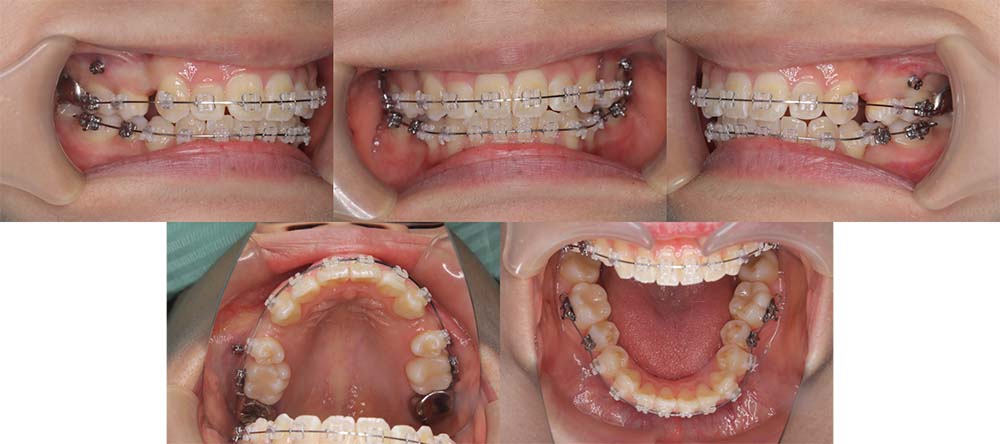
| 症例分類 | 上顎前突、叢生、シザースバイト |
| 診断名 | 右上7のシザーズバイトを伴う上下重度叢生skeletal2 |
| 主訴 | 歯並びが悪くて全体的にガタガタ |
|---|---|
| 年齢 | 19歳11ヶ月 |
| 性別 | 女性 |
| 抜歯部位 | 上顎左右と右下の第一小臼歯、左下の第二小臼歯(4本)、上顎右側第二大臼歯 |
| 使用装置 | 裏側のワイヤー装置 |
| 治療期間 | 2年11ヶ月(5ヶ月程度来院出来ない期間あり) |
| 保定装置 | 固定式保定装置、取り外し式保定装置(8時間) |
| 費用 |
[検査・診断料] ¥49,500 [基本施術料] ¥1,331,000 [調整料] ¥5,500/回 [抜歯] ¥5,500/本 [保定装置] ¥55,000(税込) 抜歯や虫歯治療は他院にて費用が別途かかります。(抜歯¥4,000〜10,000/本)
|
上下の重度叢生と上の歯が前方にあり上顎両側の第一小臼歯と下顎右側第一小臼歯、下顎左側第二小臼歯、上顎右側第二大臼歯(上顎右側親知らずを咬合に使用)を抜去して上下リンガルで治療を行いました。 左上の第二大臼歯部の咬合が深かったため、一時的に頬側に装置をつけさせて頂きました。裏側に装置を装着すると噛み合わせを浅くするためのバイトアップがかなりの量が必要になり咬みづらくなってしまうためです。
5ヶ月程度来院が出来なかった期間がありましたが、問題なく治療を終了することができました。
※写真の使用は患者様から同意を頂いております。






自費診療(保険外診療)となります。セルフケアを怠ると、虫歯・歯周病を発症する場合があります。矯正治療は患者様の協力がなければ改善できません。指示された矯正装置は必ず注意事項を守って着用が必要です。また来院期間を守って来院してください。治療結果、治療期間及び治療費に大きく影響が出る場合があります。不正咬合の状態によっては、適応しない場合があります。治療中装置の装着や咬合状態の変化などにより、一時的に咬みにくくなる場合があります。歯の動く速さや成長発育の時期には個人差があるため、治療期間が予定よりも大きく変更されることがあります。また、治療計画を変更せざるを得ない場合があります。骨性癒着(歯と骨がくっついてしまう症状)はぶつけるなど外傷のある歯や、長期間炎症が起こしていた歯などによく見られ、歯根膜の損傷が主な原因と考えられています。そのような骨性癒着を起こしている歯は矯正力をどれだけ加えても動きません。骨性癒着は精密検査でも診断できないことがほとんどです。そのため、治療途中に治療方針を変更せざるを得ない場合があります。歯や顎は動かした後に元の位置に戻ろうとするため、治療終了後は保定装置というものを使用します。 それらの装置は指示通りに使用してください。使用しないと後戻りする可能性があります。
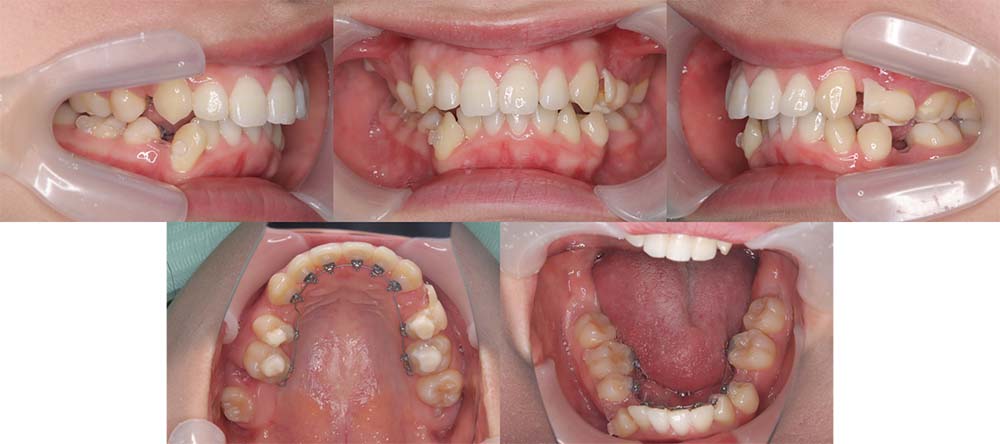
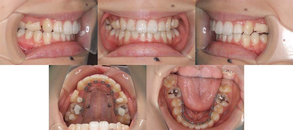
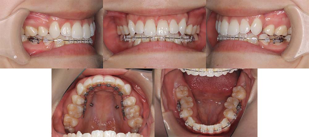
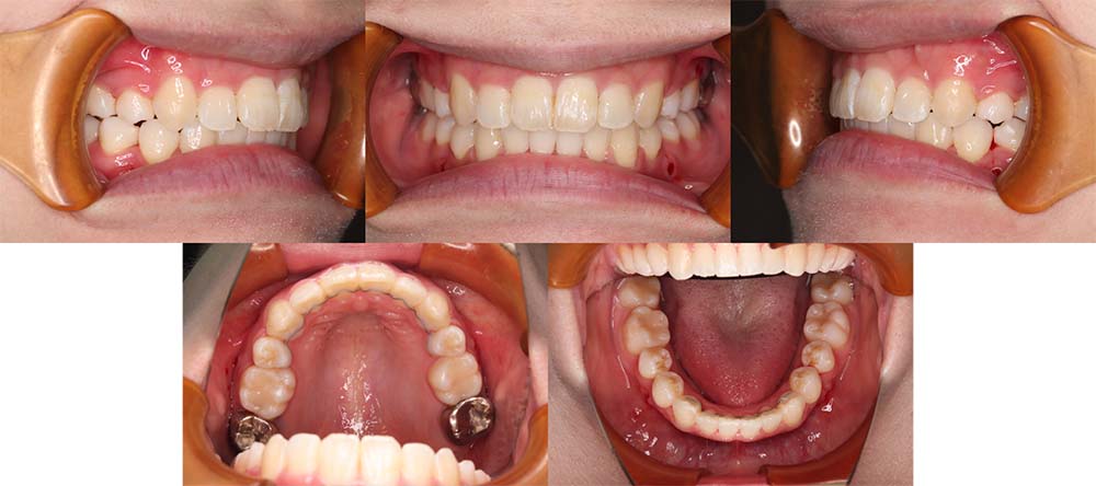
| 症例分類 | 上顎前突、口唇突出 |
| 診断名 | 左下4先天欠損を伴う上下前歯部叢生と骨格性上顎前突 |
| 主訴 | 出っ歯、下の歯がガタガタ、乳歯が1本ある |
|---|---|
| 年齢 | 31歳4ヶ月 |
| 性別 | 女性 |
| 抜歯部位 | 上の左右第一小臼歯と右下第二小臼歯と左下第二乳臼歯(4本) |
| 使用装置 | 上下裏側のワイヤー装置 |
| 治療期間 | 2年9ヶ月 |
| 保定装置 | 固定式保定装置、取り外し式保定装置(8時間) |
| 費用 |
[検査・診断料] ¥49,500 [基本施術料] ¥1,331,000 [調整料] ¥5,500/回 [抜歯] ¥5,500/本 [保定装置] ¥55,000(税込) 抜歯や虫歯治療は他院にて費用が別途かかります。(抜歯¥4,000〜10,000/本)
|
左下の永久歯が先天欠損で子供の歯が残っていて、その歯が抜けそうになったこともあり、矯正治療を考えて来院されました。
上下叢生と口唇閉鎖不全のため上下の抜歯をして治療をしました。下顎左側乳歯を抜去して治療をしました。
歯の動きが少しゆっくりだったため、予定より治療期間が伸びてしまいましたが問題なく咬合させることができました。
※写真の使用は患者様から同意を頂いております。






自費診療(保険外診療)となります。セルフケアを怠ると、虫歯・歯周病を発症する場合があります。矯正治療は患者様の協力がなければ改善できません。指示された矯正装置は必ず注意事項を守って着用が必要です。また来院期間を守って来院してください。治療結果、治療期間及び治療費に大きく影響が出る場合があります。不正咬合の状態によっては、適応しない場合があります。治療中装置の装着や咬合状態の変化などにより、一時的に咬みにくくなる場合があります。歯の動く速さや成長発育の時期には個人差があるため、治療期間が予定よりも大きく変更されることがあります。また、治療計画を変更せざるを得ない場合があります。骨性癒着(歯と骨がくっついてしまう症状)はぶつけるなど外傷のある歯や、長期間炎症が起こしていた歯などによく見られ、歯根膜の損傷が主な原因と考えられています。そのような骨性癒着を起こしている歯は矯正力をどれだけ加えても動きません。骨性癒着は精密検査でも診断できないことがほとんどです。そのため、治療途中に治療方針を変更せざるを得ない場合があります。歯や顎は動かした後に元の位置に戻ろうとするため、治療終了後は保定装置というものを使用します。 それらの装置は指示通りに使用してください。使用しないと後戻りする可能性があります。
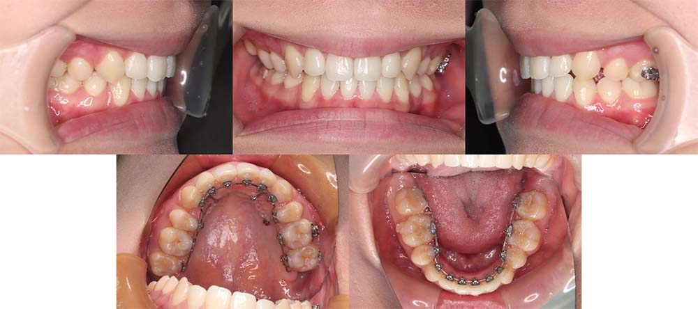
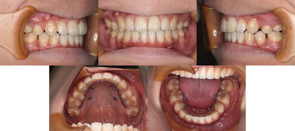
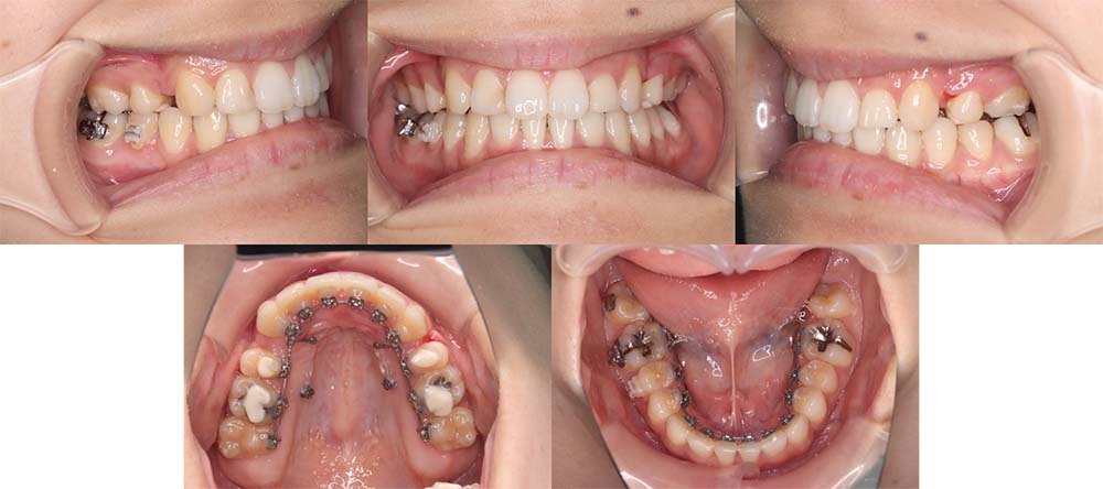
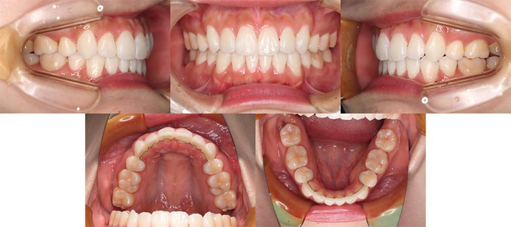
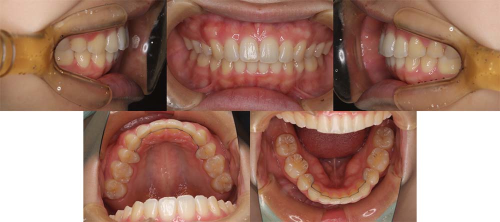
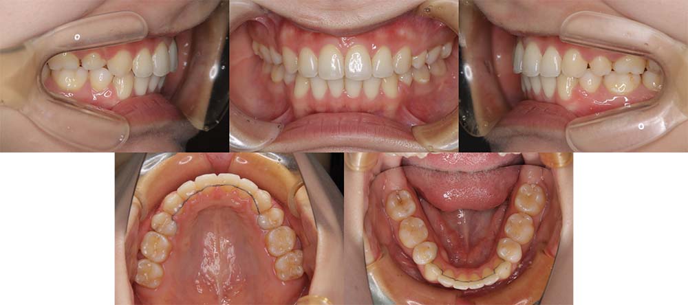
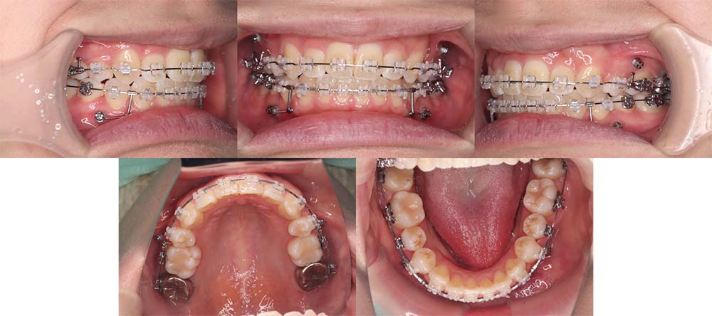
| 症例分類 | 上顎前突、叢生 |
| 診断名 | 上下叢生を伴う骨格性および歯性上顎前突 |
| 主訴 | 歯並びが悪いのが気になる、口元が気になる |
|---|---|
| 年齢 | 19歳5ヶ月 |
| 性別 | 女性 |
| 抜歯部位 | 上の左右第一小臼歯(2本) |
| 使用装置 | 上下裏側のワイヤー装置 |
| 治療期間 | 2年5ヶ月 |
| 保定装置 | 固定式保定装置、取り外し式保定装置(8時間) |
| 費用 |
[検査・診断料] ¥49,500 [基本施術料] ¥1,331,000 [調整料] ¥5,500/回 [抜歯] ¥5,500/本 [保定装置] ¥55,000(税込) 抜歯や虫歯治療は他院にて費用が別途かかります。(抜歯¥4,000〜10,000/本)
|
上顎前突で上の歯がかなり前にきているため、上顎両側第一小臼歯を抜去して治療を行いました。上の前歯をしっかりと舌側に移動しないといけないため、矯正用アンカースクリューを使用しました。また、下顎はわずかに歯の間の削合(ディスキング)を行い、初診時より歯が前方に出ないように治療を進めました。
口唇閉鎖不全もありましたが、上の前歯が舌側に移動することにより改善することができ、問題なく咬合させることができました。
※写真の使用は患者様から同意を頂いております。






自費診療(保険外診療)となります。セルフケアを怠ると、虫歯・歯周病を発症する場合があります。矯正治療は患者様の協力がなければ改善できません。指示された矯正装置は必ず注意事項を守って着用が必要です。また来院期間を守って来院してください。治療結果、治療期間及び治療費に大きく影響が出る場合があります。不正咬合の状態によっては、適応しない場合があります。治療中装置の装着や咬合状態の変化などにより、一時的に咬みにくくなる場合があります。歯の動く速さや成長発育の時期には個人差があるため、治療期間が予定よりも大きく変更されることがあります。また、治療計画を変更せざるを得ない場合があります。骨性癒着(歯と骨がくっついてしまう症状)はぶつけるなど外傷のある歯や、長期間炎症が起こしていた歯などによく見られ、歯根膜の損傷が主な原因と考えられています。そのような骨性癒着を起こしている歯は矯正力をどれだけ加えても動きません。骨性癒着は精密検査でも診断できないことがほとんどです。そのため、治療途中に治療方針を変更せざるを得ない場合があります。歯や顎は動かした後に元の位置に戻ろうとするため、治療終了後は保定装置というものを使用します。 それらの装置は指示通りに使用してください。使用しないと後戻りする可能性があります。
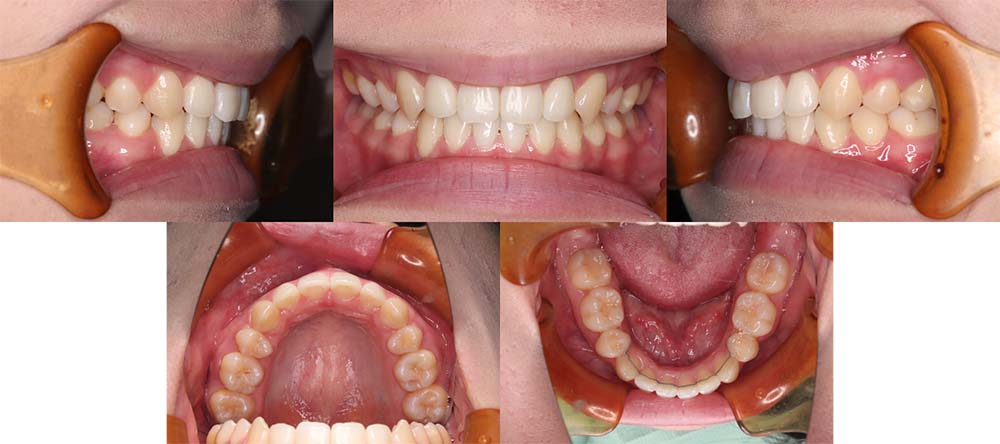
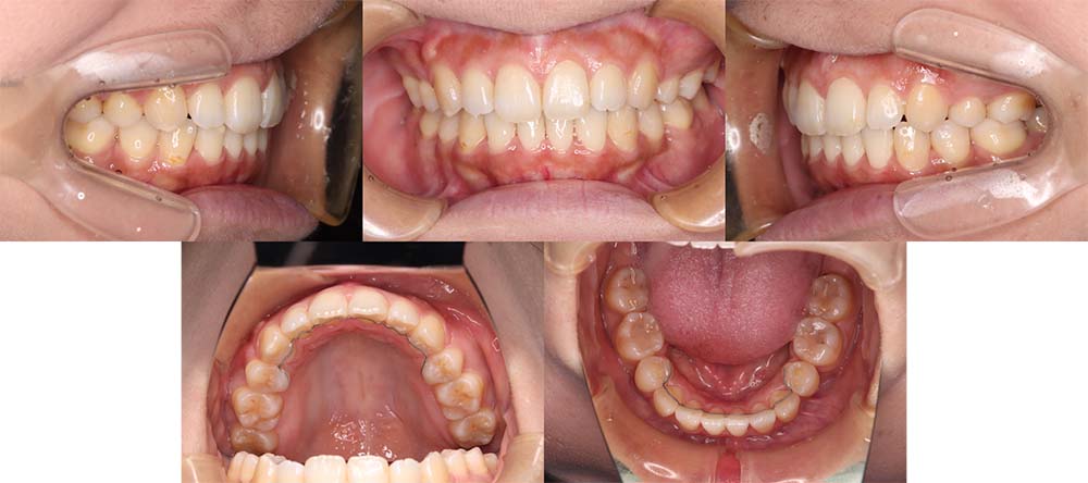
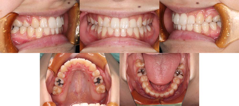
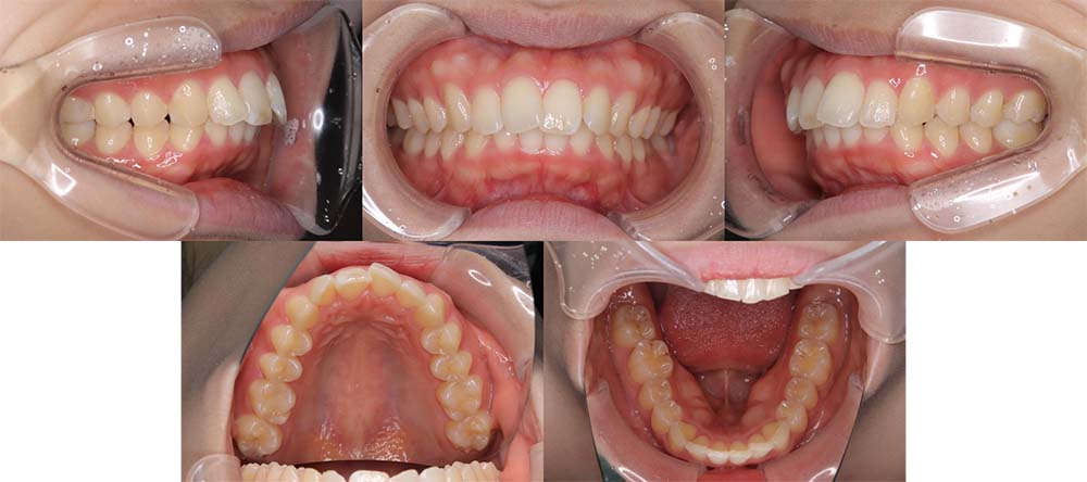
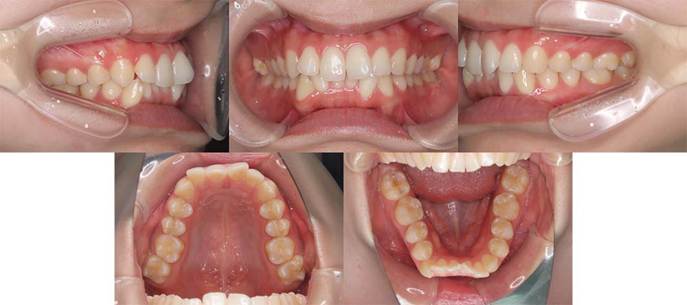
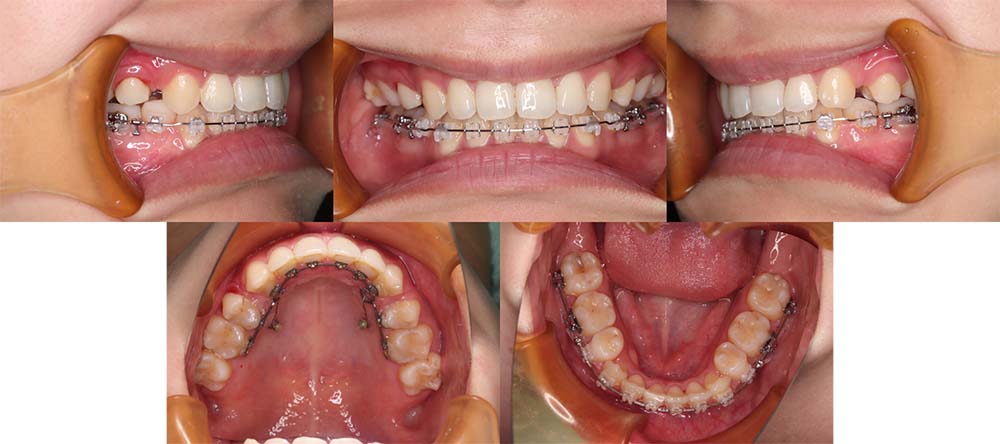
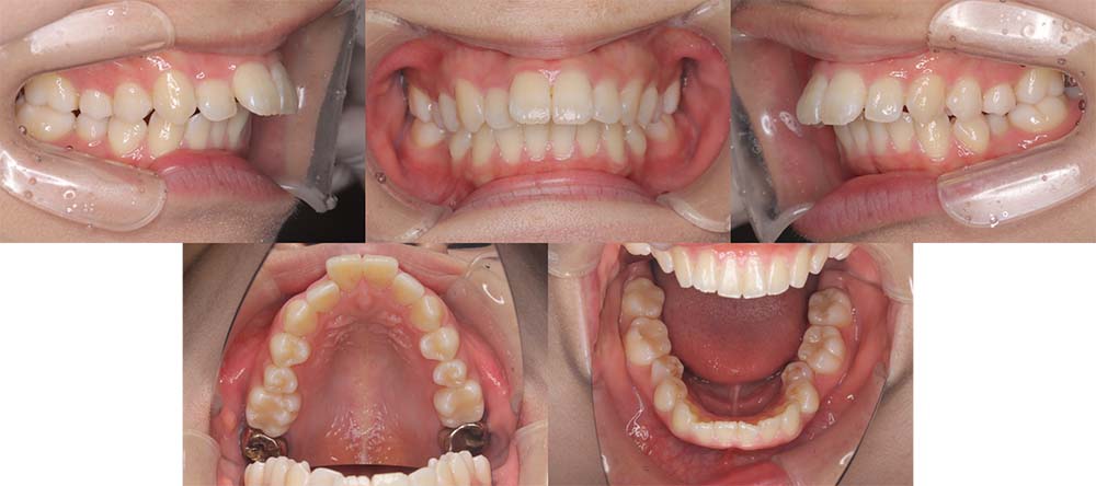
| 症例分類 | 叢生 |
| 診断名 | 上下叢生 |
| 主訴 | 八重歯と下の歯のガタガタが気になる |
|---|---|
| 年齢 | 24歳4ヶ月 |
| 性別 | 女性 |
| 抜歯部位 | 上下左右の第一小臼歯(4本) |
| 使用装置 | 上は裏側、下は表側のワイヤー装置 |
| 治療期間 | 2年8ヶ月 |
| 保定装置 | 固定式保定装置、取り外し式保定装置(8時間) |
| 費用 |
[検査・診断料] ¥49,500 [基本施術料] ¥1,056,000 [調整料] ¥5,500/回 [抜歯] ¥5,500/本 [保定装置] ¥55,000(税込) 抜歯や虫歯治療は他院にて費用が別途かかります。(抜歯¥4,000〜10,000/本)
|
上下叢生のため、上下第一小臼歯を抜去して上裏側下表側のハーフリンガルで治療しました。
顎間ゴムは治療期間の半年程度使用しましたが、協力度が良好だったためしっかり咬合することができました。
治療開始前にホワイトニングをしたこと、咬合力が強いためか装置の脱離が多く、予定より治療期間が伸びてはしまいました。
※写真の使用は患者様から同意を頂いております。






自費診療(保険外診療)となります。セルフケアを怠ると、虫歯・歯周病を発症する場合があります。矯正治療は患者様の協力がなければ改善できません。指示された矯正装置は必ず注意事項を守って着用が必要です。また来院期間を守って来院してください。治療結果、治療期間及び治療費に大きく影響が出る場合があります。不正咬合の状態によっては、適応しない場合があります。治療中装置の装着や咬合状態の変化などにより、一時的に咬みにくくなる場合があります。歯の動く速さや成長発育の時期には個人差があるため、治療期間が予定よりも大きく変更されることがあります。また、治療計画を変更せざるを得ない場合があります。骨性癒着(歯と骨がくっついてしまう症状)はぶつけるなど外傷のある歯や、長期間炎症が起こしていた歯などによく見られ、歯根膜の損傷が主な原因と考えられています。そのような骨性癒着を起こしている歯は矯正力をどれだけ加えても動きません。骨性癒着は精密検査でも診断できないことがほとんどです。そのため、治療途中に治療方針を変更せざるを得ない場合があります。歯や顎は動かした後に元の位置に戻ろうとするため、治療終了後は保定装置というものを使用します。 それらの装置は指示通りに使用してください。使用しないと後戻りする可能性があります。
| 症例分類 | 上顎前突、口唇突出 |
| 診断名 | 骨格性上顎前突 |
| 主訴 | 口元が気になる、口が閉じられない、噛み合わせが悪い、発音に支障あり |
|---|---|
| 年齢 | 24歳10ヶ月 |
| 性別 | 女性 |
| 抜歯部位 | 上の左右第一小臼歯と下の左右第二小臼歯(4本) |
| 使用装置 | 上は裏側、下は表側のワイヤー装置 |
| 治療期間 | 2年11ヶ月 |
| 保定装置 | 固定式保定装置、取り外し式保定装置(8時間) |
| 費用 |
[検査・診断料] ¥49,500 [基本施術料] ¥1,056,000 [調整料] ¥5,500/回 [抜歯] ¥5,500/本 [保定装置] ¥55,000(税込) 抜歯や虫歯治療は他院にて費用が別途かかります。(抜歯¥4,000〜10,000/本)
|
上下前歯の唇側傾斜があり口唇閉鎖不全と口唇突出感があるため上顎両側の第一小臼歯と下顎両側の第二小臼歯を抜去して治療を行いました。
矯正用アンカースクリューを用いて前歯をしっかりと舌側移動させることができました。
歯の動きが遅かったため治療期間が予定より延びてはしまいましたが、口唇閉鎖不全と口唇突出感の改善をすることができました。
※写真の使用は患者様から同意を頂いております。






自費診療(保険外診療)となります。セルフケアを怠ると、虫歯・歯周病を発症する場合があります。矯正治療は患者様の協力がなければ改善できません。指示された矯正装置は必ず注意事項を守って着用が必要です。また来院期間を守って来院してください。治療結果、治療期間及び治療費に大きく影響が出る場合があります。不正咬合の状態によっては、適応しない場合があります。治療中装置の装着や咬合状態の変化などにより、一時的に咬みにくくなる場合があります。歯の動く速さや成長発育の時期には個人差があるため、治療期間が予定よりも大きく変更されることがあります。また、治療計画を変更せざるを得ない場合があります。骨性癒着(歯と骨がくっついてしまう症状)はぶつけるなど外傷のある歯や、長期間炎症が起こしていた歯などによく見られ、歯根膜の損傷が主な原因と考えられています。そのような骨性癒着を起こしている歯は矯正力をどれだけ加えても動きません。骨性癒着は精密検査でも診断できないことがほとんどです。そのため、治療途中に治療方針を変更せざるを得ない場合があります。歯や顎は動かした後に元の位置に戻ろうとするため、治療終了後は保定装置というものを使用します。 それらの装置は指示通りに使用してください。使用しないと後戻りする可能性があります。
| 症例分類 | 叢生、口唇突出 |
| 診断名 | 上下前歯部叢生 |
| 主訴 | 下の前歯がガタガタ、横から見ると口が前に出ている |
|---|---|
| 年齢 | 23歳0ヶ月 |
| 性別 | 女性 |
| 抜歯部位 | 上下左右の第一小臼歯(4本) |
| 使用装置 | 上が裏側、下が表側のワイヤー装置 |
| 治療期間 | 2年7ヶ月 |
| 保定装置 | 固定式保定装置、取り外し式保定装置(8時間) |
| 費用 |
[検査・診断料] ¥49,500 [基本施術料] ¥1,056,000 [調整料] ¥4,400/回 [抜歯] ¥5,500/本 [保定装置] ¥55,000(税込) 抜歯や虫歯治療は他院にて費用が別途かかります。(抜歯¥4,000〜10,000/本)
|
上下軽度叢生と口唇突出感があるため、上顎両側第一小臼歯と下顎両側第一小臼歯を抜去して治療を行いました。
口唇突出感が改善され、口唇閉鎖不全も無くなりました。
スペースクローズに時間がかかってしまい、予定より治療期間がかかってしまいしたが、問題なく咬合させることができました。
※写真の使用は患者様から同意を頂いております。






自費診療(保険外診療)となります。セルフケアを怠ると、虫歯・歯周病を発症する場合があります。矯正治療は患者様の協力がなければ改善できません。指示された矯正装置は必ず注意事項を守って着用が必要です。また来院期間を守って来院してください。治療結果、治療期間及び治療費に大きく影響が出る場合があります。不正咬合の状態によっては、適応しない場合があります。治療中装置の装着や咬合状態の変化などにより、一時的に咬みにくくなる場合があります。歯の動く速さや成長発育の時期には個人差があるため、治療期間が予定よりも大きく変更されることがあります。また、治療計画を変更せざるを得ない場合があります。骨性癒着(歯と骨がくっついてしまう症状)はぶつけるなど外傷のある歯や、長期間炎症が起こしていた歯などによく見られ、歯根膜の損傷が主な原因と考えられています。そのような骨性癒着を起こしている歯は矯正力をどれだけ加えても動きません。骨性癒着は精密検査でも診断できないことがほとんどです。そのため、治療途中に治療方針を変更せざるを得ない場合があります。歯や顎は動かした後に元の位置に戻ろうとするため、治療終了後は保定装置というものを使用します。 それらの装置は指示通りに使用してください。使用しないと後戻りする可能性があります。
当院では初診相談を行っております。
歯列矯正治療に興味のある方は、お気軽にご利用ください。まだ、治療を始めるかどうか決めていない方でも不安や疑問をご相談ください。