FIRST COUNSELING初診相談
当院では初診相談を行っております。
歯列矯正治療に興味のある方は、お気軽にご利用ください。まだ、治療を始めるかどうか決めていない方でも不安や疑問をご相談ください。
こんにちは。受付の平野です。
引き続き矯正治療の経過をお伝えしていきます。
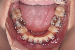
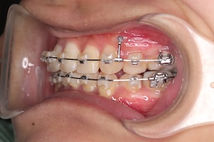
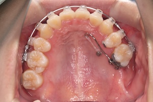
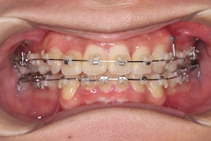
前回から1ヶ月後の歯並びはこんな感じです。

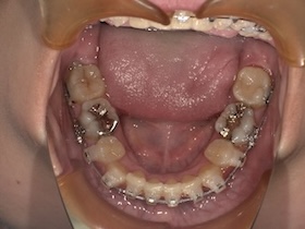
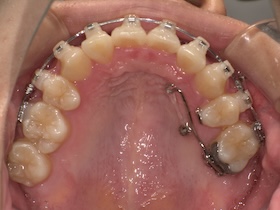
そこから1ヶ月後、

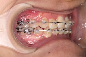
今回は埋まっている左上の親知らずの位置を改めて確認するため、レントゲンを撮影しました。
動いている気もするけど…?という感じだそうです。
7番目を抜歯してスペースができてから埋まっている親知らずが出てくるまで、半年くらいかかることはあるそうなのでもう少し待ってみます。
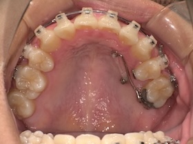
さらに1ヶ月後、

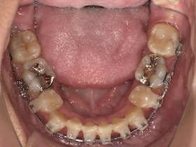
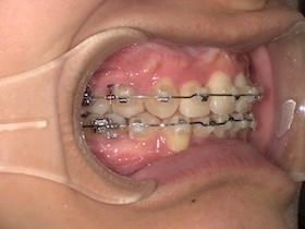
そして1ヶ月後、

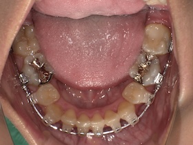
ほとんど変化がないように見えますが、こうやって数ヶ月分の写真を並べてみると左側の噛み合わせがだんだん良くなってきているのがわかります。
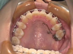
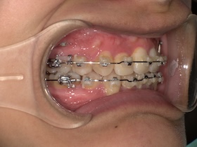
左上の親知らずはまだ出てこないので、このままでは牽引(歯茎を切って直接引っ張り出すこと)が必要かもしれません。
そうなると内側の装置が増え、他院での処置が必要となり治療期間も+1年くらいかかるので、できれば自然に出てきてほしいと思っています…。
ここまで読んでくださってありがとうございました。
茨木 高槻 吹田の歯ならび・かみ合わせ専門矯正歯科医院
大阪 茨木市 こじま矯正歯科クリニック
当院では初診相談を行っております。
歯列矯正治療に興味のある方は、お気軽にご利用ください。まだ、治療を始めるかどうか決めていない方でも不安や疑問をご相談ください。