FIRST COUNSELING初診相談
当院では初診相談を行っております。
歯列矯正治療に興味のある方は、お気軽にご利用ください。まだ、治療を始めるかどうか決めていない方でも不安や疑問をご相談ください。
こんにちは。受付の平野です。
引き続き矯正治療の経過をお伝えしていきます。
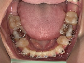
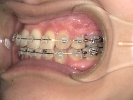
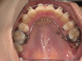
前回から1ヶ月後の歯並びはこんな感じです。

左上親知らずの牽引を始めてたった1ヶ月ですが、かなり出てきている気がします。
内側の装置は汚れが溜まりやすいのか前歯との間の歯肉が腫れ痛みが出ることが時々ありました。話しづらさ等の違和感はもう全くありません。
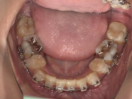
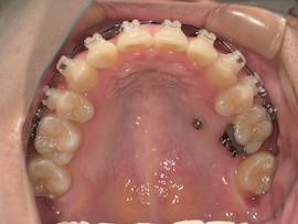
そこから1ヶ月後、

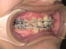
再度レントゲンにて左上親知らずの状態を確認したところ手前の歯に引っかかっていそうだったので、親知らずにもブラケットをつけてバネで押しながら引っ張るように調整してもらいました。
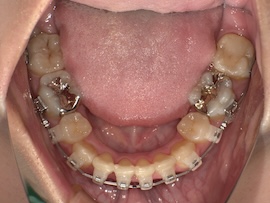
矯正治療も終わりに近づき全体的に微調整をするため装置を作り直し・付け直しが必要とのことだったので、1ヶ月後に全て付け直しをしています。
写真は撮っていないのでさらに1ヶ月後、

急に親知らずが出てきましたね。(笑)
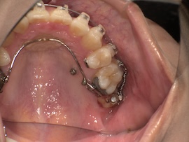
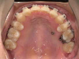
無事に牽引ができたので、内側の装置も外れました。予定していたよりもかなり早く、牽引を始めてから約5ヶ月の時点です。
そして1ヶ月後、

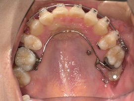
左上の親知らずとその手前の歯の間に隙間があり、今は食事のたびにものが詰まります。
その隙間を閉じつつ左側の噛み合わせをより良くするため、再度ゴムかけをすることになりました。
写真にはないですが今回は左上の3番目(犬歯)と左下の7番目(一番奥)にゴムをかけます。以前左下は6番目でゴムかけをしていたのでさらにかけるのが難しくなりましたが、それでもやはりすぐに慣れるものです。
あとは正中(上下の前歯の真ん中)が合うようにも、最後のゴムかけをあと数ヶ月頑張ろうと思います。
最近は変化が少なくあまり見応えがないかもしれませんが、あと少しお付き合いいただけると幸いです。
ここまで読んでくださってありがとうございました。
茨木 高槻 吹田の歯ならび・かみ合わせ専門矯正歯科医院
大阪 茨木市 こじま矯正歯科クリニック
当院では初診相談を行っております。
歯列矯正治療に興味のある方は、お気軽にご利用ください。まだ、治療を始めるかどうか決めていない方でも不安や疑問をご相談ください。