FIRST COUNSELING初診相談
当院では初診相談を行っております。
歯列矯正治療に興味のある方は、お気軽にご利用ください。まだ、治療を始めるかどうか決めていない方でも不安や疑問をご相談ください。
こんにちは。受付の平野です。
引き続き矯正治療の経過をお伝えしていきます。
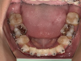
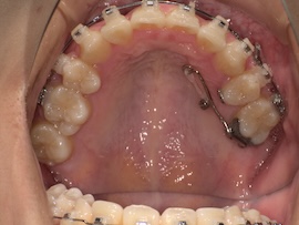
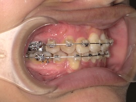
前回から1ヶ月後の歯並びはこんな感じです。

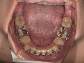
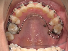
そこから1ヶ月後、

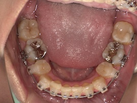
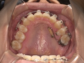
さらに1ヶ月後、

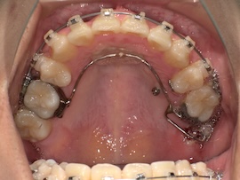
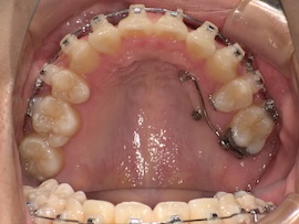
左上の7番目を抜歯してから約9ヶ月が経過しましたが、代わりに活かしていきたい親知らずが出てこないのでついに牽引(歯茎を切って引っ張り出す)をすることになりました。
内側の装置が新しくなるので今回は型取りをして準備を進めていきます。
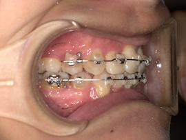
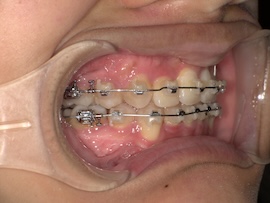
右上の6番目にバンド(金属の輪っか)を装着するためブラケットは一時的に外しています。
左上の奥に打っていた矯正用アンカースクリューですが、今回も安定せず揺れてきてしまったので抜くことになりました。
ある程度噛み合わせは良くなってきたのであとはゴムかけだけでも問題ないとのことです。
そして1ヶ月後、

牽引のため内側の装置が新しくなりましたが、これがびっくりするくらい話しづらいです…。
元々装置はついていたので案外大丈夫かと思っていたのですが、想像以上の違和感でした。
また、異物を感じているのか明らかに唾液の量が増えた気がします。(笑)
慣れるのかどうか本当に不安で先生にも「完全には慣れないかもしれない」と言われたものの、1週間くらいすれば気にならない程度には慣れました。口の中ってすごいですね。(笑)
準備ができたのでいよいよ数日後に開窓(歯茎を切って埋まっている歯にボタンをつけてもらうこと)を他院で行います。
麻酔をするのはもちろんですが、歯茎を切るのがどんなものなのか感覚等の想像ができず直前まですごく怖かったです。
実際に処置をしてもらった直後の写真がこちらです。

まだ麻酔で感覚がないため、唾液が多く見えづらくてすみません。(笑)
意外と近くに埋まっていたそうなので、少し歯茎を切る程度で済んだみたいです。骨は削っていないので腫れもほとんどありません。
その後も歯茎を切った痛みは特別感じることなく、親知らずを引っ張ることに関しても今まで感じた歯の動く痛みと同じくらいでした。ただ全体的な痛みではないため反対側で普段通りの食事はできますし、覚悟していた分全然楽に感じます。(笑)
また、一度だけ歯磨き中に出血してしまって驚きましたが、少し裂けてしまっただけで特に問題ありませんでした。
そろそろ治療開始から2年半です。あと1年くらいかな?とのことでした。
予定外の処置がところどころ必要だったため治療期間は伸びてしまうことになりましたが、親知らずもうまく並んでくれることを願って引き続き頑張ります。
ここまで読んでくださってありがとうございました。
茨木 高槻 吹田の歯ならび・かみ合わせ専門矯正歯科医院
大阪 茨木市 こじま矯正歯科クリニック
当院では初診相談を行っております。
歯列矯正治療に興味のある方は、お気軽にご利用ください。まだ、治療を始めるかどうか決めていない方でも不安や疑問をご相談ください。