FIRST COUNSELING初診相談
当院では初診相談を行っております。
歯列矯正治療に興味のある方は、お気軽にご利用ください。まだ、治療を始めるかどうか決めていない方でも不安や疑問をご相談ください。
こんにちは!こじま矯正歯科クリニックです。
最近マウスピース矯正とワイヤー矯正の違いについて質問をいただくことが増えてきました。
どちらも歯並びや噛み合わせを改善するための治療ですが、装置の特徴や治療中の過ごし方には違いがあります。
そこで今回は、それぞれの特徴を比較しながらご紹介していきます。
矯正方法選びの参考になれば幸いです。


マウスピース矯正は透明の装置を歯にはめて歯を動かす方法です。
目立ちにくく、自身で取り外しができることが特徴です。
取り外しが可能なため普段と変わらず食事ができる、歯磨きがしやすく虫歯や歯周病のリスクを抑えやすいという点が魅力です。
だだし、裏を返せば外せてしまうということがデメリットでもあります。
1日20〜22時間装着する必要があるため、外している時間が長いと歯は動きません。
自己管理がポイントになってきます。


〈メリット〉
・目立ちにくい
・取り外しができるため口腔内を清潔に保ちやすい
・口内炎ができにくい
・ワイヤー矯正より通院回数が少ない(1〜2ヶ月に一回来院)
〈デメリット〉
・自己管理が必要
・症例によってはワイヤー治療を併用することがある
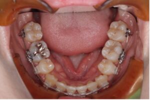
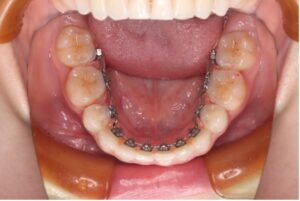
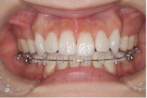
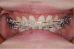
ワイヤー矯正は歯の表側や裏側にブラケットという装置をつけ、ワイヤーを通して歯を動かす方法です。
幅広い症例に対応できるのですが、ワイヤー矯正の中にも種類があるので紹介していきます。
一般的によく見られる矯正装置で、他のワイヤー装置に比べると比較的費用が抑えられます。
装置が舌に触れないため発音への悪影響や舌の痛みが起こりにくいところが利点ですが、唇の内側に装置が当たるため慣れるまで口内炎ができやすいのが欠点です。装置が当たるところには専用のワックスで装置を覆うことで、当たるときの痛みを和らげることができます。

〈メリット〉
・対応できる症例が幅広い
・費用が抑えられる
〈デメリット〉
・装置が見えやすい
・唇や頬に違和感や口内炎ができやすい
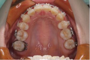
上の歯は裏側、下の歯は表側に装置をつけるワイヤー矯正です。
笑ったときに見えやすい上の歯は裏側にすることで見た目への影響を抑えることができます。
上の裏側についてる装置が舌に触れるため慣れるまで発音に違和感はありますが、フルリンガル(上下裏側)に比べると影響は少ないです。


〈メリット〉
・正面から見た時に装置が目立ちにくい
・フルリンガルより費用が抑えられる
・舌への違和感が比較的少ない
〈デメリット〉
・下の歯の装置は見える
・装置装着後は違和感を感じやすい
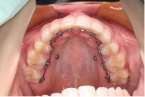
上下ともブラケットを裏側につける、もっとも見えないワイヤー矯正です。
正面からはほぼ見えないため審美性を重視したい方にはメリットが大きい矯正方法ですが、これまでの矯正装置の中で一番舌に当たりやすいため、発音がしづらく慣れるまでは強い違和感があります。また、料金も一番高価です。

〈メリット〉
・装置がほとんど見えない
・見た目を気にせずに矯正治療ができる
〈デメリット〉
・舌に違和感が出やすい
・話すのに慣れるまで時間がかかる
・費用が他に比べると高くなる
・装置が裏側についているため歯磨きがしづらい
矯正方法にはそれぞれメリット・デメリットがあり「見た目」「費用」「治療内容」「ライフスタイル」などを総合的に考えて選ぶことが大切です。当院ではカウンセリングを通して、お一人おひとりに合った矯正治療方法をご提案しています。
お気軽にご相談ください!

当院では初診相談を行っております。
歯列矯正治療に興味のある方は、お気軽にご利用ください。まだ、治療を始めるかどうか決めていない方でも不安や疑問をご相談ください。