FIRST COUNSELING初診相談
当院では初診相談を行っております。
歯列矯正治療に興味のある方は、お気軽にご利用ください。まだ、治療を始めるかどうか決めていない方でも不安や疑問をご相談ください。
こんにちは。院長の小島です。
今日は、矯正治療でもご相談の多い「口ゴボ」について、詳しくご紹介していきます。
「横顔が気になる」「口元がもっこりして見える」というお悩みを持つ方は、ぜひ参考にしてみてください。
口ゴボとは、正式には「上下の前歯および唇が前方に突出している状態」を指します。
横顔を見たとき、鼻先とあご先を結んだライン(Eライン)よりも口元が大きく前に出てしまっているのが特徴です。
見た目の変化としては、
横顔がのっぺりして見える
唇が閉じづらく、力を入れないと口が閉じられない
鼻が低く見えたり、顔全体が平坦な印象になりやすい
といった点が挙げられます。
しかし、口ゴボは単に見た目の問題だけではありません。
実際には、機能的な問題を引き起こしていることが多いのです。
口元が前方に突出していることで、自然に口を閉じることが難しくなり、結果として口呼吸が習慣化しやすくなります。
これにより、虫歯や歯周病、口臭リスクの増加に加え、全身的な健康にも悪影響を及ぼす可能性があります。
つまり、口ゴボ治療は単なる「見た目の改善」ではなく、機能を正しく整えることによって、結果的に美しい口元を取り戻すことが本質的な目的なのです。
口ゴボの原因である「唇が閉じづらい状態」は、多くの場合、口呼吸を引き起こします。
この口呼吸が慢性化すると、以下のようなさまざまなリスクにつながることが知られています。
虫歯・歯周病のリスクが高まる
口呼吸によって口腔内が乾燥しやすくなり、唾液の自浄作用が弱まることで、細菌が増殖しやすくなります。
口臭が強くなる
口の中が乾きやすくなることで、においの原因菌も増えやすくなります。
アレルギーや鼻炎が悪化しやすい
本来、鼻で行うべき呼吸を口で行うことで、空気中の細菌やアレルゲンを直接体内に取り込んでしまうことになります。
姿勢や発育への影響
お子さまの場合、口呼吸によって舌の位置や体のバランスに悪影響が出て、姿勢や顔つきにも影響が出ることがあります。
これらを踏まえると、矯正治療によって機能的な問題を根本から改善することは、見た目の改善以上に価値のあることだといえます。
口元が自然に閉じられるようになり、正しく鼻呼吸ができるようになることで、健康面・美容面の両方において大きな変化が期待できます。
「見た目が変わった」というより、「風邪をひきにくくなった」「表情が明るくなった」と実感される方も多いです。
口ゴボになる原因は?
口ゴボには、さまざまな原因があります。主な要因を整理してみましょう。
遺伝などにより、上あごや下あごの骨自体が前方に成長しているケースです。
この場合、歯だけでなく骨格のアンバランスが関係しているため、治療には少し計画的なアプローチが必要になります。
前歯が前方に傾斜している、または歯列全体が前に押し出されている場合も口ゴボになります。
「歯性口ゴボ」と呼ばれることもあります。
小さいころからの指しゃぶりや舌癖(舌で歯を押す癖)、口呼吸などが原因で、徐々に歯列やあごの成長に影響を及ぼしてしまうケースも多いです。
現代人は柔らかい食事が中心になり、あごの発達が弱くなる傾向があります。
これにより、口元の筋力バランスが崩れ、口ゴボを助長することもあります。
結論から言うと、多くの場合、矯正治療で改善が可能です。
ただし、原因や状態により、治療方法は大きく異なります。
歯列矯正で歯の傾きを整えたり、必要に応じて抜歯を行い、前歯を後退させることで改善が可能です。
特に、上顎前突(いわゆる出っ歯)が原因の口ゴボは、矯正のみでかなりきれいな横顔に近づきます。
骨格性の問題が強い場合は、矯正単独では難しく、外科手術(顎変形症の手術)との併用が必要になることもあります。
その際は、矯正専門医と口腔外科医が連携して治療計画を立てるのが一般的です。
ここから、実際の治療例をいくつかご紹介します。
患者さんは、上下の前歯が強く突出しており、横顔を気にして来院されました。
診断の結果、口唇突出を伴う上下顎前突(skeletal2)




治療内容:
上顎左右第一小臼歯、下顎両側第二小臼歯(計4本)を抜歯
上裏側、下表側のブラケット装置で治療
治療期間は2年11ヶ月
治療中写真


結果:





口元の突出感が大きく改善
患者さんは、上の前歯が捻れており来院。そこで口呼吸を指摘したところ、以前から気にされていたが矯正で改善出来ることを知って治療を開始することになった。
診断の結果、上下前歯の唇側傾斜を伴う軽度叢生





治療内容:
上下顎左右第一小臼歯(計4本)を抜歯
上下表側のブラケット装置で治療
治療期間は1年9ヶ月
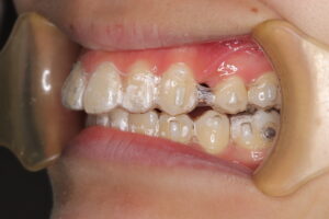
治療中写真



結果:




口元の突出感が改善
患者さんもお母さんも口元の改善にとても喜んでおられました。
患者さんは、上の前歯がでているのが気になり来院。
診断の結果、上下前歯の唇側傾斜を伴う上下顎前突




治療内容:
上顎左右第一小臼歯、下顎右側第一小臼歯、下顎左側第二小臼歯(計4本)を抜歯
マウスピース型矯正装置で治療
治療期間は2年4ヶ月
治療中写真




結果:




口元の突出感が改善
横顔がきれいになったととても喜んでいただけました。
【矯正治療に関するリスク・副作用】・本治療は自費診療(保険適用外診療)となります。・セルフケアを怠ると、虫歯・歯周病を発症する可能性があります。・矯正治療には患者様のご協力が不可欠です。指示された矯正装置は、注意事項を守り、必ず正しく着用してください。・指定された来院期間を守ってご来院ください。遵守いただけない場合、治療結果・治療期間・治療費に大きな影響が出る可能性があります。・不正咬合の状態によっては、矯正治療が適応しない場合があります。・治療中、装置の装着や咬み合わせの変化により、一時的に咬みにくくなる場合があります。・歯の動く速さや成長発育の時期には個人差があり、治療期間が予定より延長される場合があります。また、治療計画を変更せざるを得ない場合があります。・骨性癒着(歯と骨が癒着して動かない状態)が治療中に判明することがあります。※骨性癒着は事前の精密検査でも診断が難しく、治療方針の変更が必要となる場合があります。・歯や顎には元の位置に戻ろうとする性質があります。治療後は保定装置を指示通りに使用してください。使用しない場合、後戻りのリスクがあります。
口ゴボの方の矯正の流れ
口ゴボの改善には、一般的な歯列矯正と異なり、口元のバランスや横顔の印象、そして機能面までを総合的に考慮する必要があります。
そのため、治療の流れも、しっかりとした診断と計画をもとに進めていくことが大切です。
まずは現在の歯並びや噛み合わせ、口元の突出感などについて、お悩みやご希望をお伺いします。
「自分は矯正で治るのか?」「抜歯は必要?」「外科手術になるの?」といったご不安も、丁寧に説明いたします。
レントゲン撮影(パノラマ・セファロ)、歯型の採取、顔貌・口腔内の写真撮影などを行い、歯の位置や骨格のバランスを詳しく分析します。
検査結果をもとに、どのような治療が適しているかをご説明します。
必要に応じて抜歯の有無、マウスピース矯正かワイヤー矯正か、さらには外科手術の併用が必要かどうかもご提案します。
装置を装着し、歯を段階的に動かしていきます。
口ゴボの方は前歯を後方に下げる治療が多くなるため、特に「口元の変化」を実感しやすい方が多いです。
治療期間は1年半~3年程度が目安ですが、個人差があります。
歯並びが整ったあとは、リテーナー(保定装置)で後戻りを防ぎます。
また、舌癖や口呼吸が残っていると再発のリスクがあるため、必要に応じてMFT(口腔筋機能療法)を併用することもあります。
治療期間は個人差がありますが、通常は2年〜3年程度を見込んでおくとよいでしょう。
口ゴボの原因のひとつに「舌や口周りの筋肉の使い方」があります。
矯正装置で歯やあごの位置を整えるだけでは、舌癖や口呼吸の癖が残っていると後戻りの原因にもなってしまいます。
そこで、日常生活で意識できる改善ポイントや、MFT(口腔筋機能療法)の導入をおすすめします。
✅ 鼻呼吸を意識する
まずは自分が「口呼吸になっていないか」を意識してみましょう。日中はもちろん、就寝中に口が開いている方は、睡眠時の対策も有効です(例:口テープなど)。
✅ 姿勢を正す
猫背になると舌の位置が下がり、口が開きやすくなります。背筋を伸ばし、あごを引いた姿勢を心がけましょう。
✅ 会話・咀嚼をしっかり行う
よく話す・しっかり噛むことは、口まわりの筋肉を自然に鍛える習慣になります。
やわらかい食事ばかりでなく、しっかり噛む食材も取り入れましょう。
MFTとは、舌・唇・頬の筋肉をバランスよく使うためのトレーニングです。
矯正治療の効果をより安定させるだけでなく、再発(後戻り)を防ぐためにも非常に有効です。
以下は一例です:
舌先は「上あごの前歯のすぐ後ろ(スポット)」に軽くついているのが自然な状態です。
この位置を常に意識することで、無意識の舌癖が改善されていきます。
舌先でスポットの位置を「トントン」と10〜20回タップします。
これを1日2〜3セット繰り返すことで、舌の筋力や正しい位置の感覚が養われます。
唇に軽く力を入れて割りばしを横にくわえ、落とさないように数秒キープします。
唇の筋力アップに効果的です。
MFTは年齢を問わず、お子さまから大人まで誰でも行えるセルフケアです。
「矯正治療は終わったけれど、また戻ってきた気がする」
という患者さんの多くは、こういった口腔習癖が改善されていないことが原因です。
矯正治療と並行してMFTを取り入れることで、
✔ きれいな口元を長くキープできる
✔ 鼻呼吸が習慣になり、健康的な生活につながる
といったメリットが得られます。
口ゴボは見た目だけの問題ではなく、噛み合わせや呼吸、発音などにも影響することがあるため、早めの対処が望ましいです。
矯正治療によって改善できるケースは多く、治療後には「笑顔に自信が持てるようになった」「横顔がきれいになった」というお声もよく聞かれます。
ただし、治療には時間と根気が必要です。
自分の理想のゴールをしっかりイメージしながら、信頼できる矯正歯科医と二人三脚で進めていきましょう!
このブログが、口ゴボでお悩みの方にとって、少しでも参考になれば嬉しいです。
最後までお読みいただき、ありがとうございました。
当院では初診相談を行っております。
歯列矯正治療に興味のある方は、お気軽にご利用ください。まだ、治療を始めるかどうか決めていない方でも不安や疑問をご相談ください。