FIRST COUNSELING初診相談
当院では初診相談を行っております。
歯列矯正治療に興味のある方は、お気軽にご利用ください。まだ、治療を始めるかどうか決めていない方でも不安や疑問をご相談ください。
こんにちは。受付の平野です。
引き続き矯正治療の経過をお伝えしていきます。
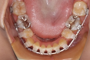
前回から1ヶ月後の歯並びはこんな感じです。

下は歯の抜いたスペースが埋まってきたため、7番目にも装置がつきました。
奥歯だけ取り残されている感じがしていたので、治療が進む嬉しさがあった反面やはり違和感は増えました。
上の内側にある装置の跡が舌についていますが、写真を見て気がついたくらい全く痛み等はないです。(笑)
そこから1ヶ月後、

そして1ヶ月後、

すごく分かりづらいですが、ようやく上の左右7番目にも装置がつきました。
左上の6番目と7番目の間にスペースができてきて食べ物が詰まりやすくなっていたので、やっと装置がついて嬉しいです。
以前下の奥歯に装置がついた時よりも頬に引っかかり違和感が強かったため、最初にもらったワックスをはじめて使ってみましたが、すぐに外れてしまうので数日後に固定の保護剤をつけてもらいました。
ここから1ヶ月後は、写真がなかったですがほとんど変わっていないと思います。(笑)
やはり左側の前後的なズレがなかなか改善しないため、次回レントゲンを撮影して7番目か親知らずのどちらを抜歯するか判断していくことになりました。
もともと親知らずは抜かないといけないと思っていたので、治療がスムーズに進む方針に従いたいと思っています。
ここまで読んでくださってありがとうございました。
茨木 高槻 吹田の歯ならび・かみ合わせ専門矯正歯科医院
大阪 茨木市 こじま矯正歯科クリニック
当院では初診相談を行っております。
歯列矯正治療に興味のある方は、お気軽にご利用ください。まだ、治療を始めるかどうか決めていない方でも不安や疑問をご相談ください。